팔꿈치 관절(주관절)은 상완골, 척골 및 요골과 이들을 연결하는 내·외측 측부인대로 이루어져 있는 관절입니다. 굴근과 신전근이 균형을 이루고 있고, 내·외측 측부인대가 있어 비교적 안정적인 관절로 성인의 경우는 이 주관절의 모양이 잘 발달되어 있기 때문에 탈구를 일으키려면 상당한 에너지가 필요로 하며, 주로 추락사고 및 스포츠손상에 의한 경우가 대부분입니다. 이러한 고에너지 탈구는 골절을 동반하는 경우가 있는데 이중 요골두 골절과 구상돌기 골절이 동반된 주관절 탈구는 "Terrible triad of Elbow"라 하여 가장 심한 형태의 주관절 복합손상으로 분류됩니다.
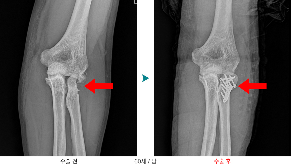
요골두골절과 구상돌기골절이 동반된 주관절 탈구는 주위 연부조직과 골조직에 심한 손상을 주는 복합손상으로 측부인대 손상이나 관절 불안정성이 흔히 동반되며 적절한 치료를 받지 않을 경우 합병증으로 만성관절 불안정성, 관절강직, 이소성 석회화 및 외상 후 관절염등이 흔히 발생하기 때문에 예방을 위해서는 적절한 치료와 재활이 필요하며, 적절한 치료를 받지 못하거나 치료시기를 놓치는 경우 팔꿈치 인공관절 전치환술을 시행해야하는 상태로 이어질 수 있습니다.

※ 각각의 분류형태에 따른 치료방법으로는 1형은 보존적치료, 2형은 관혈적 정복술 후 내고정술, 3형은 요골두 절제술 및 요골두 인골관절치환술을 시행하게됩니다.

※ 구상돌기 골절의 경우 단독손상은 드물며, 주관절 탈구와 요골두 골절과 동반되어 발생하는 경우가 가장 흔합니다. 축성압박 및 외반력에 의해 척골 근위부와 요골두가 회외전하며 상완골과 탈구되고, 이때 상완골 활차(상완골 하단의 중앙이 약간 패인 관절면)에 의한 충격에 의해 구상돌기 골절이 발생하게됩니다.
1형의 경우 보존적치료를 시행하며, 2,3형의 경우 관혈적 정복술 후 내고정술을 시행하게됩니다.

※ A: 골절이 분쇄되지 않음 (Non-comminuted) / B: 골절이 분쇄됨 (Comminuted)
※ 각각의 분류형태에 따른 치료방법으로는 1형은 비수술적 치료, 2형과 3형은 수술적치료를 시행하게됩니다.


