"척골 충돌증후군 이란?"
  척골충돌증후군은 선천적 척골양성변이 또는 퇴행성 변화, 손목관절의 과도한 사용 및 외상으로 인한 골절 후 부정유합 등으로 상대적으로 길어진 척골이 월상골과 부딪치면서 손목에 통증이 생기는 질환을 말합니다. 보통 척골충돌증후군은 손목 새끼손가락 쪽의 연골이 파열되는 삼각섬유연골 복합체 손상(TFCC)과 함께 발생하는 경우가 많기 때문에 정밀검사를 통해 연골손상 등의 확인이 필요합니다.
원인
  - 손을 많이 쓰는 직업을 가진 분들에게서 척골충돌증후군 증상을 많이 볼 수 있습니다.
 
  - 선천적 척골양성변이 또는 퇴행성변화 등으로 발생할 수 있습니다.
 
  - 외상으로 인한 골절 후 부정유합 등이 원인이 되기도 합니다.
 
증상
  - 손에 힘을 주는 일, 무거운 물건을 들어올릴때, 걸레를 짜는 것처럼 손목을 비틀때 통증이 나타납니다.
 
  - 새끼손가락쪽으로 저림증상이 나타납니다.
 
  - 컴퓨터 타이핑등의 동작에 통증이 나타날수 있습니다.
 
치료
보존적 치료
뼈와 관절의 손상이 미미하고 증상이 심하지 않은 경우, 약물치료와 물리치료, 체외충격파 및 생활습관교정 등의 보존적치료를 시행하게됩니다.
수술적치료
  보존적 치료에도 증상이 지속되고 관절내 손상이 심해진 경우 관절경을 통한 원위척골절제술을 시행하며, 삼각섬유연골 복합체 손상(TFCC)도 함께 발병된 경우 이에 대한 치료도 함께 이루어 져야 합니다.
척골충돌증후군 관절내시경 수술의 장점
  - 수술 후 통증이 심하지 않고 출혈이 거의 없으며 수술 다음날부터 바로 재활치료를 시작할 수 있습니다.
 
  - 무엇보다도 이전에 시행하였던 척골단축술 (절개를 통해 척골의 일정 부분을 잘라 제거하고 금속판을 이용하여 내고정을 시행)과 같이 멀쩡한 뼈를 잘라낼 필요가 없으며, 추후 금속판을 제거하는 재수술이 필요없다는 장점이 있습니다.
 
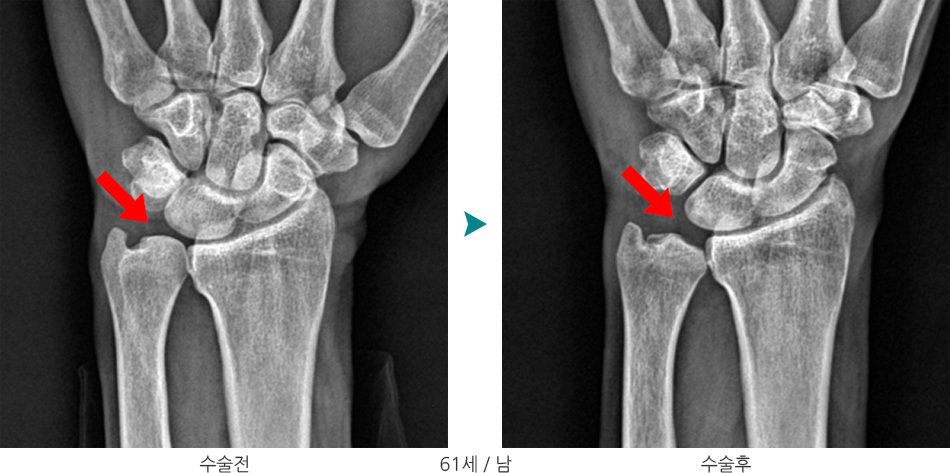
척골충돌증후군





관절경하 원위척골절제술







관절경하 원위척골절제술 수술부위 전·후 비교

  ※ 관절경하 원위척골절제술(뼈 깍은 부분)시행 부분이 연골로 덮여있는 상태를 확인 할 수 있습니다.
원위척골절제술 + 월상골 괴사부 변연절제술 및 미세절골술

관절경하 월상골 미세절골술 수술부위 전·후 비교


척골단축술

