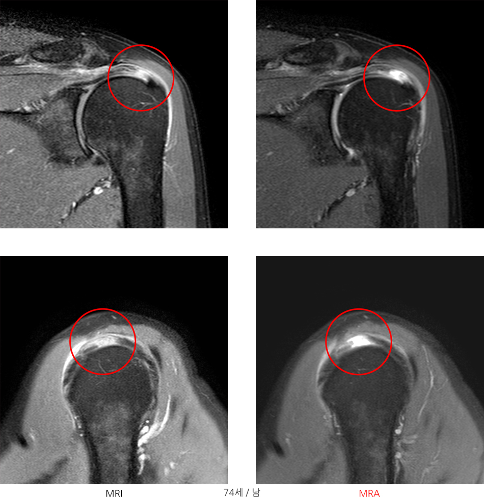
MRI는 초음파로 관찰하기 어려운 어깨의 전체적인 이상 여부, 관절 내 이상, 관절와순 손상 여부 등을 자세히 볼 수 있어 진단에 상당히 많은 도움을 줍니다.
하지만 MRI로도 진단이 모호한 경우가 종종 발생 할 수 있습니다. 이런 경우 MRA검사를 통해 관절 속 미세한 병변까지 진단할 수 있습니다.
MRA(MR-Arthrogram)란, 관절 속에 조영제를 주입한 후 촬영하는 검사로, 관절와순이나 회전근개의 찢어진 틈으로 조영제가 스며들어가 파열 여부를 더욱 정확히 진단할 수 있게 됩니다.

※ MRI보다 MRA검사에서 명확하게 파열된 부분을 확인 할 수 있습니다.

※ MRA검사에서 관절와순 파열이 명확히 관찰되는 것을 확인 할 수 있습니다.

가제트병원 | 대표자 : 박종민
광주 남구 대남대로127번길 5 (방림동, 가제트병원)
TEL. 062-710-9111 | FAX. 062-710-9222
Copyright © gadgethosp All Right Reserved.
