고관절 골절은 대부분 넘어지면서 고관절부의 외측을 직접 부딪히면서 발생합니다.
젊은 연령에서는 추락이나 교통사고 같은 고에너지 외상에 의한 것이 대부분이고, 고령의 환자에서는 골다공증으로 인해 골질이 약회되어 있는 경우 많아 단순 낙상 같은 저에너지 손상에 의해 발생하는 것이 대부분입니다.
고관절 골절이 있는 환자는 외측대퇴부와 서해부에 심한 통증을 호소하며, 대퇴부를 구부리거나 회전하려고 하면 더욱 심한 통증이 나타납니다.
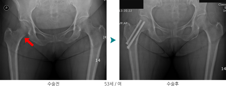
단순 방사선 사진으로 확인이 가능하며, 이외에도 전산화 단층 촬영으로 골절 형태 파악에 도움이 될 수 있습니다.
골절형태와 위치에 따라 적절한 치료방법을 선택하며 소아, 중년, 노년에 따라서 정복과 고정하는 방법이 다를 수 있습니다. 노년층의 경우 경부골절에서 골유합이 어렵기 때문에 인공관절 치환술이 많이 시행됩니다.



가제트병원 | 대표자 : 박종민
광주 남구 대남대로127번길 5 (방림동, 가제트병원)
TEL. 062-710-9111 | FAX. 062-710-9222
Copyright © gadgethosp All Right Reserved.
