요골하단 골절은 손목(요골의 먼쪽 끝부분)에 발생하는 골절을 말합니다.
즉, 전완뼈(요골)의 끝이 부러져 손목 관절 부위의 정렬이 흐트러진 상태입니다.
전체 골절 중에서도 매우 흔한 부위로, 노인이나 낙상 사고에서 자주 발생합니다.
손목 부위 부종, 압통, 변형 확인하고 영상검사(X-ray 및 CT)를 통해 진단
추가적으로 MRI검사 등이 필요할 수 있음(인대, 힘줄 등 손상 여부 확인)
손상 정도와 변위 여부에 따라 달라집니다.
변위가 없거나 경미한 경우
- 도수정복(closed reduction) 후 석고 고정(cast immobilization) 유지, 약 4~6주
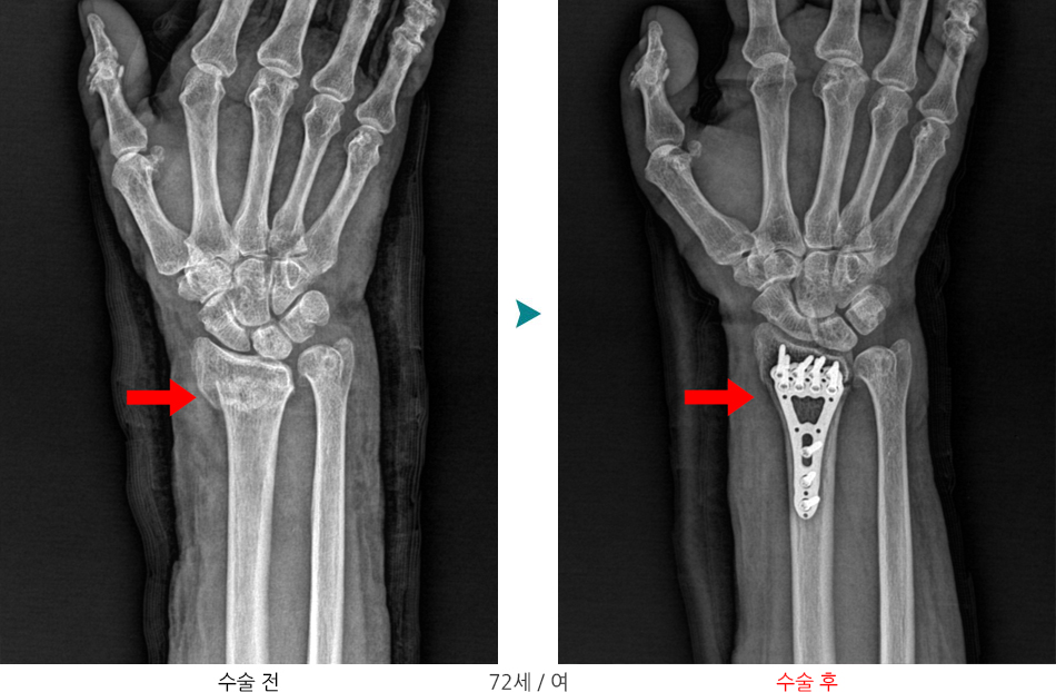
심한 변위 또는 정복 유지가 불가능한 경우
- 개방적 정복술 및 금속판/금속나사를 이용한 내고정술 시행


가제트병원 | 대표자 : 박종민
광주 남구 대남대로127번길 5 (방림동, 가제트병원)
TEL. 062-710-9111 | FAX. 062-710-9222
Copyright © gadgethosp All Right Reserved.
