인대(관절 인대)는 뼈와 뼈를 연결시켜주며 관절의 안정성을 제공하는 인체 조직입니다.
발목인대손상은 초기에는 염좌라고도 불려지며, 발목을 접질렀을 때 관절을 지탱하는 인대가 손상을 입게 되면서 발생되는 질환으로 약 90%정도가 발목을 삐끗하는 상황에서 가장 흔하게 발생합니다.
목발사용, 석고고정 보조기, 테이핑 등이 있습니다.
발목인대의 손상 정도가 심한 경우 수술적치료를 진행 할 수 있습니다.
발목인대손상을 방치할 경우 발목 불안정증, 발목 연골손상, 관절염 등의 질환으로 이어질 수 있습니다.


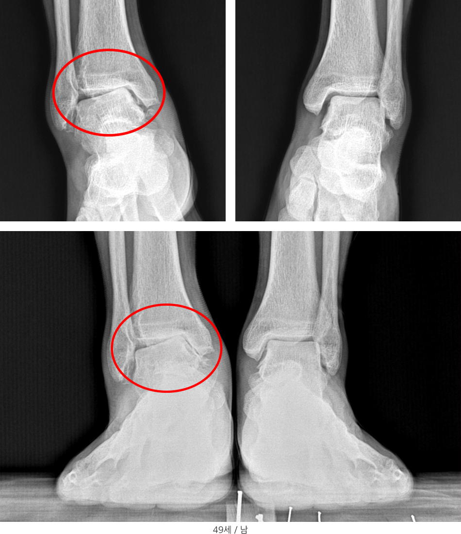
※ 바깥쪽(화살표) 인대가 파열되면 불안정으로 발목안쪽을 쳐대서 안쪽부위의 관절염이 진행되는 상황이 올 수 있으므로 발목인대파열은 초기 수상 시 정확한 진단 및 치료가 매우 중요합니다.






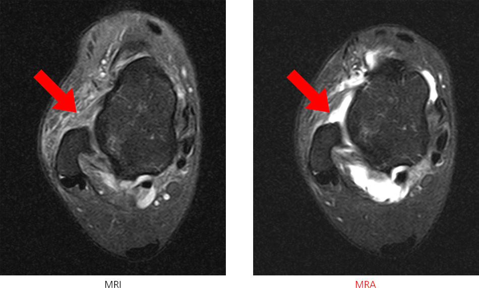
※ 발목 MRI에서는 인대 파열이 의심되는 소견을 보이고, MRA에서는 인대가 뼈에서 떨어져 있는것을 보다 정확하게 확인 할 수 있습니다.